麻薩諸塞州劍橋--(美國商業資訊)--Ultivue今天宣佈完成5000萬美元的D輪融資。該公司是促進精準醫學解決方案的領導者,其採用的獨特方法是結合多重生物標誌物分析與同一切片傳統H&E來進行組織表型定性。本輪新加入的投資者包括Ally Bridge Group、Pura Vida Investments和Tao Capital Partners。再次參與融資的創業投資者包括ARCH Ventures、Northpond Ventures和Applied Ventures, LLC。
此新聞稿包含多媒體內容。完整新聞稿可在以下網址查閱:https://www.businesswire.com/news/home/20210427005387/en/
此次追加融資將幫助Ultivue鞏固其市場地位、交付創新解決方案以因應精準組織樣本中腫瘤生物學的動態性質,使研究人員和病理學家能在數位病理學工作流程中全面發揮組織生物標誌物的潛力。
Ally Bridge Group總裁兼投資組合經理Anna Yaeger評論道:「我們很高興能與Ultivue結成長期合作夥伴。我們相信,該公司差異化的試劑盒式多重免疫螢光法可以充分利用空間生物學革命的優勢,創造至高的靈活性,以支援學術界、生物製藥和CRO等領域的客戶。」
ARCH Ventures聯合創始人、董事總經理Keith Crandell表示:「Ultivue的解決方案功能強大,能在高解析度和現有硬體上提供快速、準確、以往無法獲得的多重蛋白標記物資訊。看到資源齊備、領導有方的Ultivue為生物科技和製藥腫瘤界提供如此強大的功能,令人非常振奮。」
Northpond Ventures總監、特許金融分析師Adam Wieschhaus博士表示:「Ultivue正在利用一流的科技,促使每個需要免疫療法的患者都能獲得治療,其一流的科技能對組織樣本進行高級分析和探究,以用於精準醫學研究。能繼續支援Ultivue團隊的工作,我們倍感自豪。」
Ultivue總裁兼行政總裁Jacques Corriveau表示:「我們欣然歡迎本輪融資新加入的投資者,同時非常感謝現有投資夥伴的支持。此次融資將使我們能夠推進商業化工作,同時也能夠擴大我們的研發範圍,以保持創新前沿的領先地位,並為我們的客戶提供生物學領域的深入見解,協助客戶應對免疫療法患者的治療反應率挑戰。」
關於Ultivue:
Ultivue為研究人員和科學家提供用於組織表型定性和數位病理學的多重生物標誌物檢測。其專有的InSituPlex技術可對組織樣本進行高級分析和探究,以用於精準醫學研究。Ultivue高度客製化的解決方案和科學諮詢方法能夠增強並加速生物標誌物的發現和藥物開發專案。
原文版本可在businesswire.com上查閱:https://www.businesswire.com/news/home/20210427005387/en/
免責聲明:本公告之原文版本乃官方授權版本。譯文僅供方便瞭解之用,煩請參照原文,原文版本乃唯一具法律效力之版本。
聯絡方式:
Mark Rees
Ultivue
mark.rees@ultivue.com

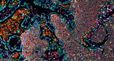
描繪非小細胞肺癌(NSCLC)樣本中免疫浸潤的多重免疫螢光圖像。(照片:美國商業資訊)



